Harmonieschiene
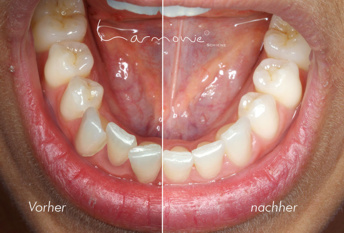
Haben sie einen schiefen Zahn, oder eine Zahnlücke, die Sie stört? Mit der Harmonieschiene können ästhetische Korrekturen auch bei Erwachsenen diskret vorgenommen werden. Die Behandlung erfolgt mit mehreren durchsichtigen Schienen, die den ganzen Tag getragen werden. Schon nach wenigen Monaten erhalten sie als Endergebnis schöne gerade Zähne und ein strahlendes Lächeln.
Weitere ausführliche Informationen finden Sie unter www.harmonieschiene.de .


